반응형
치아 제일 끝에 위치한 어금니인 사랑니로 무조건 발치해야하는지에 대해 알아보도록할게요

사랑니는 일반적으로 17~25세 사이에 나오는 세 번째 어금니(대구치)로, 사람에 따라 1개에서 4개까지 날 수 있습니다. 하지만 공간 부족이나 방향 문제로 인해 정상적으로 나오지 못하는 경우가 많아 통증이나 염증을 유발할 수 있습니다.
사랑니
- 단순매복 : 잇몸에 치관이 덮여있어 잇몸 절개 후 발치가 필요
- 복잡매복 :잇몸에 치아가 덮여있어 잇몸절개후 치아 분리술 시행하여 발치가 필요
- 완전매복 : 잇몸에 치아가 덮여있으나 치관 2/3 이상이 매복하여 치아분리술과 골삭제가 필요
사랑니를 뽑아야 할 경우
- 통증, 부기, 염증이 발생할 때
- 다른 치아를 밀면서 치열이 흐트러질 위험이 있을 때
- 칫솔질이 어려워 충치가 생길 가능성이 높을 때
- 치아가 기울어져서 맹출로 인접치 충치예방을 위해서
- 턱관절이나 두통 등으로 이어질 가능성이 있을 때
사랑니 발치 후 주의사항
- 발치 후 24시간 동안 양치질, 가글 자제
- 얼음찜질로 부기 관리
- 자극적인 음식, 흡연, 음주는 피하기
- 심한 통증이나 출혈이 지속되면 치과 방문
사랑니 발치 과정 및 방법
사랑니 발치는 치아의 위치와 매복 상태에 따라 방법이 달라집니다. 일반적으로 간단한 발치와 외과적 발치(수술적 발치)로 나뉘는데, 아래에서 자세히 설명해 드릴게요.

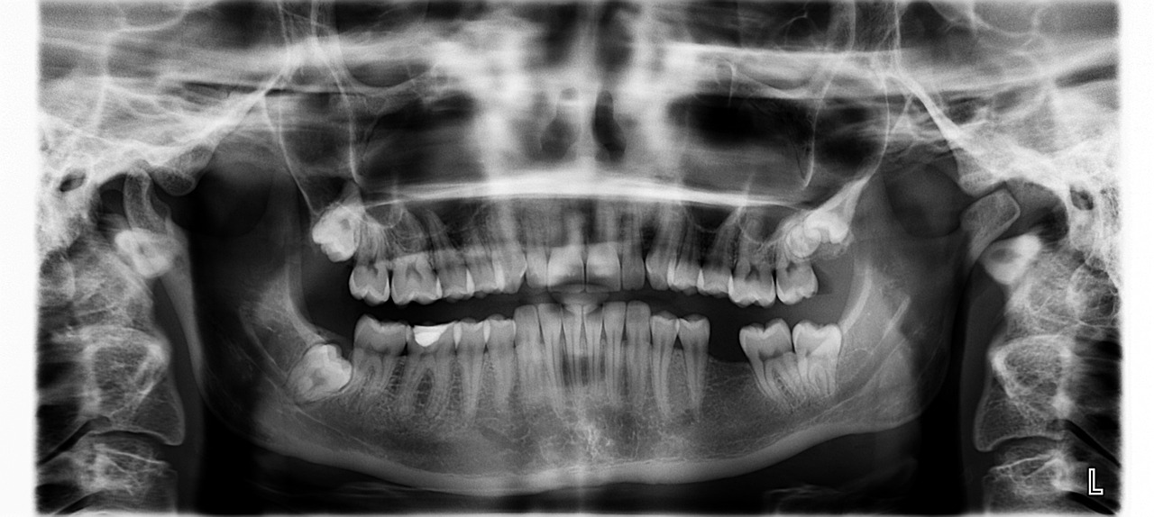
- 치과에 방문시 panorama 촬영 후 사랑니 위치와 매복상태를 확인한다.
- 사랑니와 하악 신경과의 관계를 파악하기 위하여 CT 촬영을 한다.
- 신경관에 근접한 사랑니는 사랑니전문치과나 대학병원으로 refer한다.
사랑니 발치 방법
- 단순 발치 (비매복 사랑니)
- 잇몸 밖으로 완전히 나온 사랑니의 경우
- 일반적인 발치 기구(펜치, 엘리베이터)를 사용해 쉽게 뽑을 수 있음
- 외과적 발치 (매복 사랑니)
- 국소마취를 먼저 시행한다.
- 잇몸을 절개하여 사랑니가 드러나도록 함
- 필요할 경우 사랑니를 여러 조각으로 잘라서 하나씩 제거
- 뼈를 일부 깎아야 할 수도 있음
- 사랑니를 모두 제거한 후, 잇몸을 봉합(실밥 제거는 약 1주 후)
사랑니 발치 후 주의사항
- 출혈 방지: 발치 후 거즈를 물고 최소 2시간동안 압박하여 지혈을 한다. 이때 침과 피는 삼킨다.
- 얼음찜질: 24시간동안 부기와 통증을 줄이기 위해 10~15분간격으로 시행
- 가글 & 양치질 주의: 첫 24시간 동안 가글이나 강한 양치는 피하기
- 흡연 및 음주 금지: 최소 3~7일간 금지 (상처 회복 방해)
- 자극적인 음식 피하기: 뜨겁거나 딱딱한 음식 대신 부드러운 음식 섭취
반응형
'치아정보' 카테고리의 다른 글
| 임플란트 크라운 종류 (0) | 2025.02.20 |
|---|---|
| 완전틀니와 임플란트 틀니 (0) | 2025.02.18 |
| 지르코니아 장 · 단점 (0) | 2025.02.16 |